Aunque no es muy conocida fuera del mundo médico, afecta una zona fundamental de tu pie y puede cambiar tu forma de caminar si no se trata a tiempo.
¿Qué es la articulación de Lisfranc?
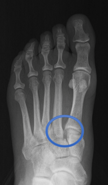
La articulación de Lisfranc se encuentra en el medio del pie, entre los huesos largos (metatarsianos) y los huesos del tarso medio (cuneiformes y cuboides). Piensa en ella como un puente que mantiene tu arco del pie estable y permite que apoyes tu peso de forma correcta al caminar o correr.
Cuando esta articulación se lesiona, hablamos de una lesión de Lisfranc. Esta puede variar desde un simple estiramiento de ligamentos hasta una fractura-luxación grave.

Causas más frecuentes
- Trauma directo:
Un golpe fuerte en el dorso del pie, como en un accidente. - Trauma indirecto (lo más común):
Torcer el pie con el antepié fijo mientras el talón rota, algo frecuente en deportes como fútbol, baloncesto o atletismo.
Síntomas que no debes ignorar
- Dolor intenso en la parte media del pie, especialmente al apoyar el peso.
- Hinchazón y hematomas, a veces visibles en el empeine.
- Dificultad para caminar o correr.
- Sensibilidad al tocar la zona entre el primer y segundo metatarsiano.
Tip: Si notas dolor y deformidad tras un golpe o torcedura, acude cuanto antes a un especialista. Ignorar la lesión puede generar problemas a largo plazo.
Cómo se diagnostica
Un podólogo puede detectar esta lesión con:
- Exploración física: palpando el pie y evaluando la movilidad.
- Radiografías: muestran desplazamientos de los huesos.
- Tomografía o resonancia: en casos más complejos o cuando los ligamentos están afectados.

Tratamiento según gravedad
- Leve (sin desplazamiento):
Inmovilización con bota o yeso por 6–8 semanas y reposo sin cargar peso. - Moderada a grave (luxación o fractura):
Puede requerir cirugía para alinear los huesos y fijarlos con tornillos o placas. Luego, fisioterapia para recuperar fuerza y movilidad.
Complicaciones posibles
Si no se trata adecuadamente, puede causar:
- Dolor crónico y dificultad para caminar.
- Artritis en la articulación del medio pie.
- Alteraciones en el arco del pie, generando sobrecarga en otras articulaciones.
El podólogo no solo ayuda a diagnosticar y tratar la lesión, sino también a prevenir problemas futuros, usando:
- Plantillas ortopédicas para redistribuir la carga.
- Control de la marcha y ejercicios de fortalecimiento.
Importancia del Diagnóstico Temprano
Las lesiones de Lisfranc suelen confundirse con esguinces comunes. Un diagnóstico temprano y tratamiento adecuado puede prevenir secuelas como la artrosis postraumática o el dolor crónico.
La lesión de Lisfranc es seria y requiere atención inmediata. Detectarla a tiempo y seguir el tratamiento adecuado es clave para mantener la salud y funcionalidad de tus pies.
CENTRO DE PODOLOGIA LAS RAMBLAS

